スピーチエイドについて

のどの奥は 鼻からの呼吸と口からの呼吸が交差する部分があります。鼻咽喉閉鎖(びいんくうへいさ)機能とは、話したり、水を飲んだり呼吸したりするときに無意識に開けたり 閉じたりして会話、嚥下をスムースに行っている機能です。その部分が何かしらの理由(先天的、後天的)で閉鎖機能が弱くなってしまうと、「あ~」と長めの「あ」を話しても、はっきりした声にならない、声が全体的にぼんやりとなる、飲み込もうとしても鼻に逆流しやすくなる、話していると喉の奥の方がつらくなる、などの症状となります。

鼻咽喉閉鎖機能不全への対応には、外科的な方法、リハビリ(非外科)的な方法、補綴(ほてつ)的な方法やその組合せが一般的です。

補綴とは、おぎないつづる という意味からの通り、無い部分に人工物を用いて、口腔機能を回復する方法で、入れ歯 が1番イメージしやすいかと思います。入れ歯は、食べ物をかみ砕いて飲み込みやすい形にするために必要で、飲み込むときはスピーチエイドがあることで、「ごくん」と飲み込めるようになります。


鼻咽喉閉鎖機能に関するイラスト図

安静時 (鼻咽喉閉鎖機能に問題がない場合)

軟口蓋安静時。

安静時 つまり リラックスしている状態 で 特に声を出したり、強い呼吸をしていないときは、喉の奥は、鼻~喉~口~気道 と空気の流れが存在しています。

鼻咽喉閉鎖機能時

具体的には、声を出す、飲み込む、といった動作の時に、軟口蓋が挙上し、咽頭後壁が一部隆起して 鼻咽喉閉鎖されることで、はっきりした声をだしたり、鼻に逆流せず飲み込むことが可能になります。

軟口蓋の挙上や咽頭後壁の隆起のタイミングが合わないことで鼻に入ったりむせたりすることがあります。


鼻咽喉閉鎖機能不全、スピーチエイド装着時(安静時)

先天的、後天的な理由によって鼻咽喉閉鎖機能不全になった場合で、スピーチエイドを装着した状態での安静時のイラストです。軟口蓋、エイドの球体、咽頭後壁にはそれぞれ少しずつの隙間があります。

鼻咽喉閉鎖機能不全、スピーチエイド装着時(機能時)

発話時、嚥下時など、鼻咽喉閉鎖しようとしますが、十分な軟口蓋挙上が得られなかったり、咽頭後壁の隆起が不十分なことで閉鎖不全が起きます。その隙間にちょうどエイドの球体がはまり込むように調整を行います。


鼻咽喉閉鎖機能不全に対するスピーチエイド付義歯について

スピーチエイドがついている入れ歯

入れ歯 とよばれる部分は 写真の左半分。
スピーチエイドとよばれる喉の奥に入っていく部分は右側の細い針金とピンク色の球体です。

患者さんの閉鎖機能不全の状態で球体になったり、もう少し細長い感じなったりと 患者さんごとで異なります。

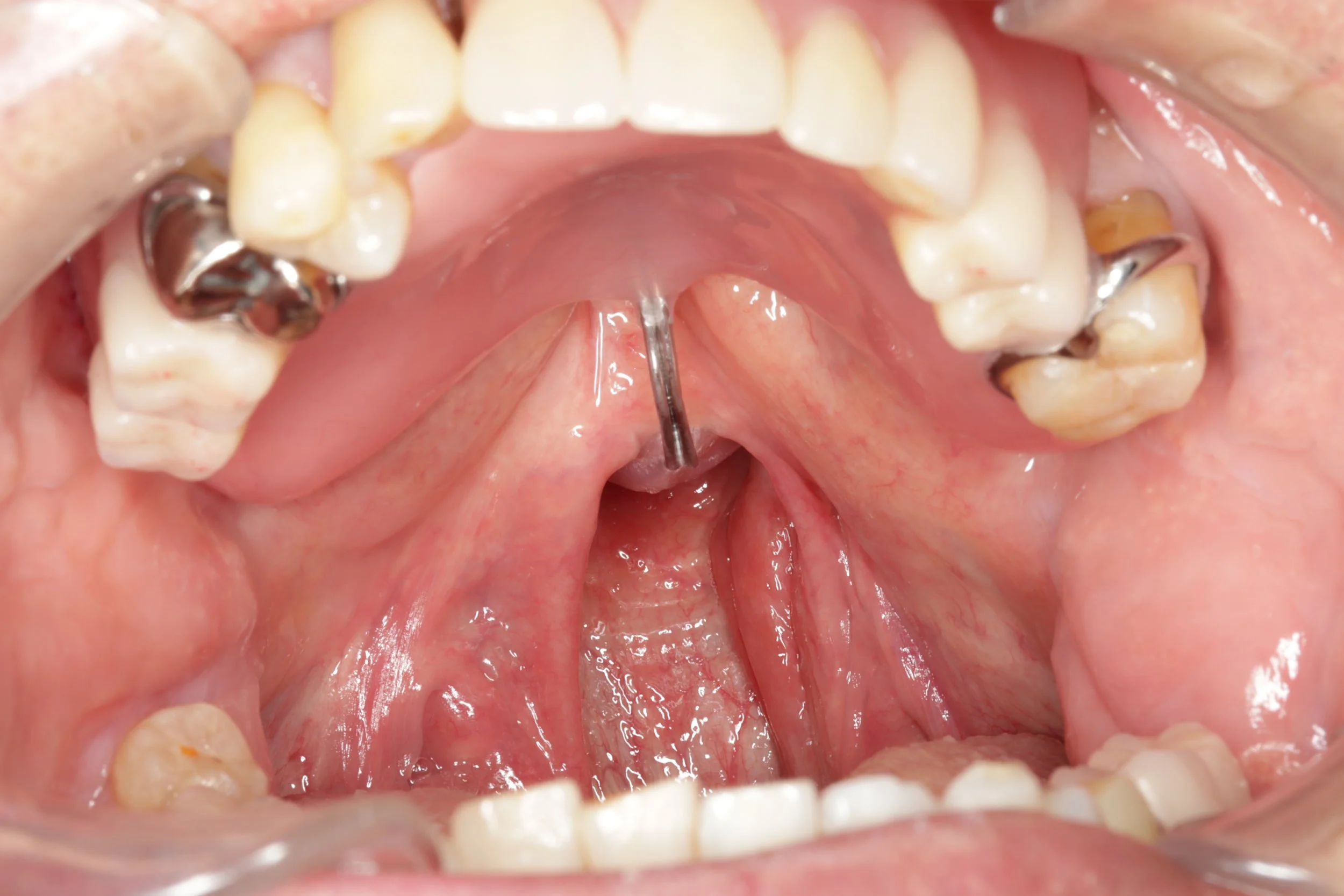
安静時の喉の状態

軟口蓋がリラックスしている状態で 喉とスピーチエイドの球体の部分には隙間があります。

入れ歯 と同じで、装着しておしまいではなく、装着してからがスタートで、何度か調整が必要になります。また安定していても、体調の変化や気候の変化で、削ったり、大きくしたりすることがあります。

鼻咽喉閉鎖機能時の状態

軟口蓋が動いて喉を閉鎖しようとするが閉鎖が不十分なところがあるので、スピーチエイドで補っている状態。

写真ではわかりやすくするため「あー」と声を出してもらいながら撮影しております。

本症例は、第47回日本口蓋裂学会総会・学術集会、ポスター発表した内容の一部です。

当院では、歯科技工所、歯科技工士と連携し、スピーチエイドの調整、修理、製作を行っております。何かおこまりのことが あればご連絡ください。

Previous
Previous

入れ歯銀行 東京日比谷支店

Next
Next

ドイツ式入れ歯(テレスコープ義歯)の修理