ホームケア はじめませんか?

歯を失う原因の一つは 「歯周病」です。
歯周病の原因となる歯周病菌が
歯と歯ぐきの隙間に隠れており
普段の歯ブラシだけでは
取り切れない場合もあります。
定期的な歯科医院での清掃により
歯周病の重症化を予防することを
当院ではお勧めしております。
とはいえ、
「日々のホームケアでも
歯周病ケアをしっかりしたい」
というお声も頂きます。

Close-up of teeth with visible plaque and tartar buildup, side profile of a mouth with a 'stop' sign overlay and Chinese characters indicating dental disease.

歯周病の予防の大きなメリットは、歯がゆれない、歯を失わない、ということです。つまり、入れ歯にならないことで、お食事をしっかり楽しむことができる ことです。

入れ歯を専門に勉強してきましたが、やはり天然の歯に勝るものはないので、健康な歯をしっかりと残すことが肝要と考えております。

歯周病予防のメリットとは

Close-up of teeth showing significant plaque and tartar buildup, yellowing, and some misalignment.
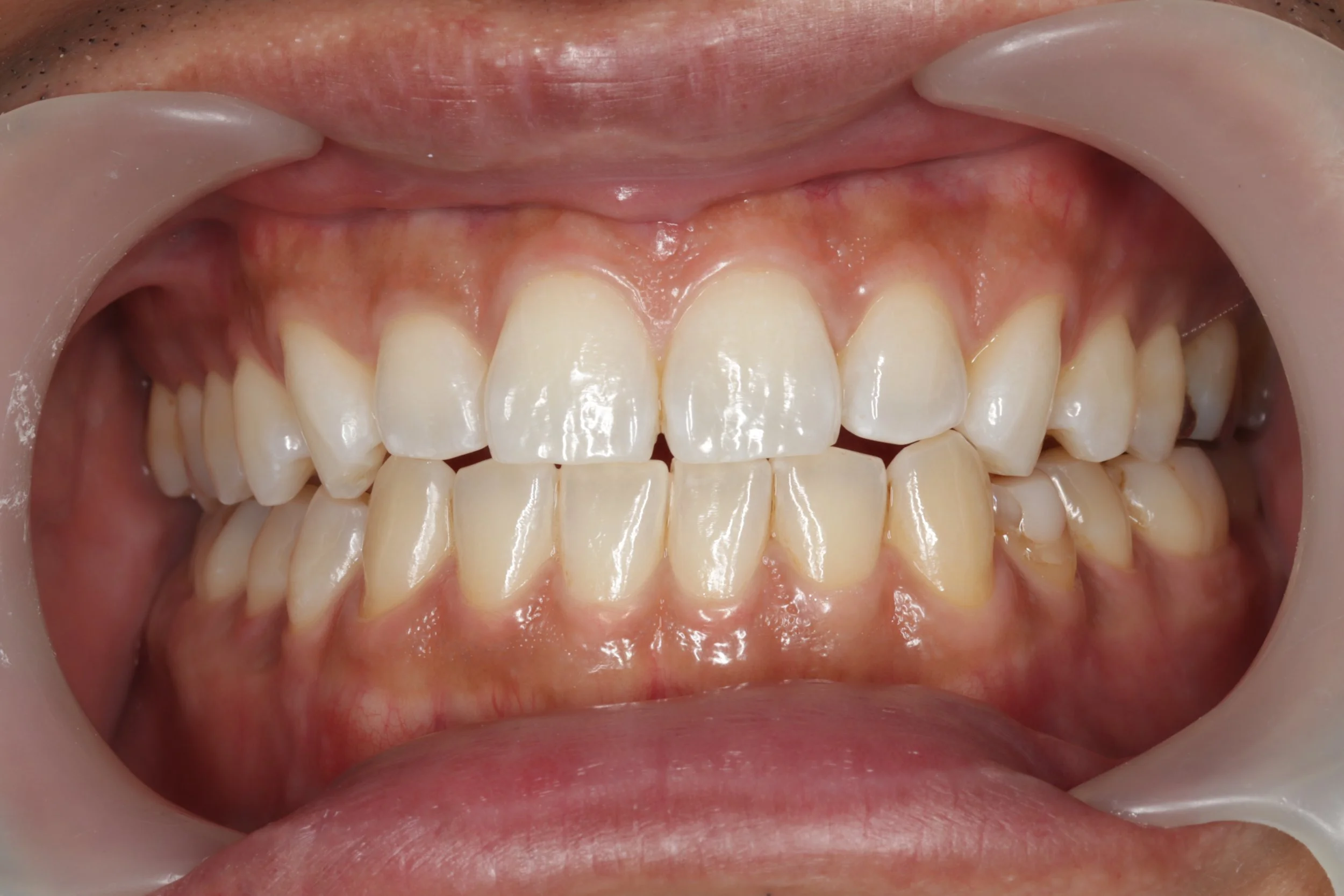
A close-up view of a person's open mouth showing upper and lower teeth, gums, and surrounding oral tissues.

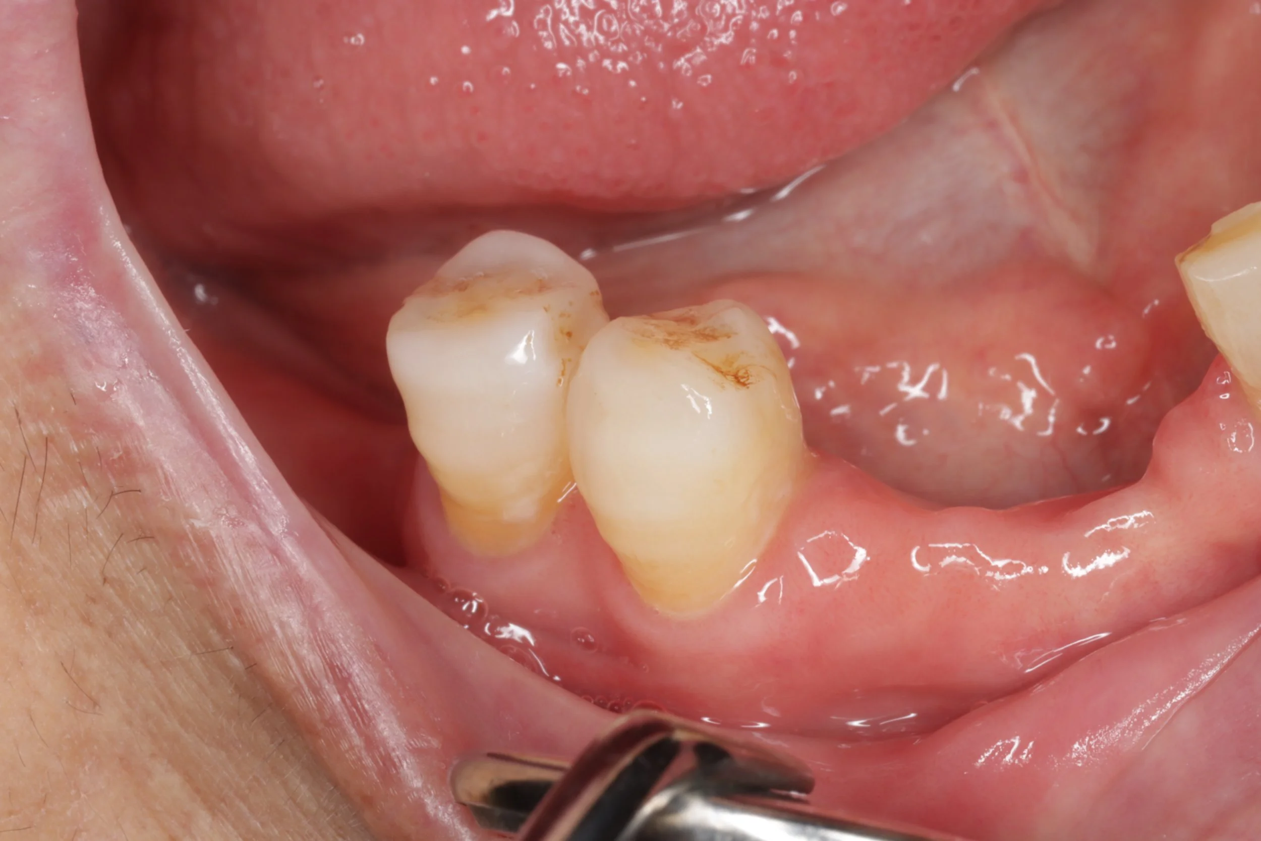
セルフブラッシングの限界

A close-up of a person's mouth showing two molars with decay or staining on the chewing surfaces, and a dental instrument near the gums.

日々の歯磨きも重要ですが、磨き残しは白っぽいので、白い歯の上に白い汚れなのであまり目立ちません、気づきません、意外と汚れがついている というものです。一見 キレイに磨けている歯ですが、歯科用の顕微鏡(マイクロスコープ)で確認すると、歯の汚れがついていることが分かります。

使用する薬剤の研究

Scientific journal article page with title 'An In Vitro Study of Local Oxygen Therapy as Adjunctive Antimicrobial Therapeutic Option for Patients with Periodontitis' and section 'Safety issues relating to the use of hydrogen peroxide in dentistry'.

歯周病と過酸化水素に関する研究はこれまでにも報告されており、マウスピースを用いた歯周病ケアで用いる薬剤は、過酸化水素の一種の過酸化尿素とよばれるものを使用します(抗生物質は一切使用しませんので耐性菌を作りません)。

口腔内の状態によっては、使用できない場合や、無カタラーゼ症候群の方も使用できません。

初回

専用のマウスピースを製作するために歯型をとります。型取りが難しい場合は光学印象(別途費用)を行います。当院初診の場合は、一般的な歯周病の治療やブラッシング指導を行います

おうちで歯周病ケアの手順

2回目

マウスピースは約7営業日ほど製作にお時間を頂きます。ホームケアの仕方、マウスピースの取扱、薬剤の取扱についてご説明いたします。必要に応じて経過の口腔内写真を撮影します。

3回目以降

定期的なメインテナンスを行うとともに、マウスピースの適合のチェックを行います。使用する薬剤がなくなった場合は、当院で購入できます。使用頻度などについては個別に説明します。

A dental aligner with blue accents, a dental buccal pad with blue markings, and a white Opalescence teeth whitening syringe.

よくある質問

  • おうちで歯周病ケアをはじめるには、専用のマウスピースが必要です。そのため来院し、歯型を取ります。マウスピース製作には約7営業日かかります。

  • マウスピース製作として、1つ 11000円(税込)がかかります。上と下 両方の歯を行う場合は、2つ分の料金がかかります。お支払いは型取り時にかかります。(保険外診療)

  • 使用する薬剤は、過酸化尿素とよばれる薬剤で、簡単に言うと、過酸化水素、オキシドールの一種です。使用時間や歯の状態によっては、歯が白っぽくなることがありますが、むし歯になりやすくなるという報告はありません。

ウェブ予約から
【おうちで歯周病ケア】をお選び下さい。
保険外診療となります。