Digital Denture

当院のデジタルデンチャーは、入れ歯治療の製作過程をデジタル化することで、2回の来院、約2週間で、入れ歯を製作し、まず、入れ歯に慣れる、入れ歯でしゃべる、入れ歯で食事する、という基本的なところを早期の回復を目的とした入れ歯です。

大学病院勤務時代、頭頸部がん切除後の入れ歯を製作していました。そこでは、手術前後で大きく口腔内がかわりますが、手術前に、術後の形を予測した入れ歯を作り、がん切除後の口腔機能回復に携わってきました。その経験を生かし、どんな口腔内の環境でも、少ない治療回数でまず、入れ歯で口腔機能回復することはできないか?と考え、最新のデジタル技術を活用し、歯科技工士と連携することで、より患者さんの満足度を上げるように、日々診療を行っております。

入れ歯で早期回復を目指す

きちんとした治療、手間のかかる治療をすれば、それ相応の治療結果、満足した結果を得ることは、理解はできたとしても、入れ歯治療って時間かかるし、そんな複雑なことをして本当に自分自身が入れ歯で、お口の機能回復がどのくらいできるのか?

そんな心配をできるだけ払拭し、まず100点では無いけれども、来院から2週間で完全オーダーメイドの入れ歯を装着し、リハビリをしながら、次の入れ歯治療やインプラント治療へのステップアップの準備をするための治療です。

  • どの治療方針を聞いても、治療期間が長いし、そもそも入れ歯ができるまでも時間がかかり、まずは自分が入れ歯になじむのか?また、痛い歯を治療しつつ、まずは入れ歯を使ってみて、しゃべったり、食事したりすることを始めたい という方を対象とした入れ歯です。

  • 2024年からその診療を開始。デジタルデンチャーを製作してきましたが、ほとんどの症例で、製作は可能です。

    残っている歯の抜歯を必要とする場合も対応可能です。

  • まずはクリニックで、対面で歯科医師と初回30分、3300円でのご相談となります。その場で製作開始をご希望される場合も対応可能です。口腔内スキャナを用いた型取りから約2週間で、完全オーダーメイドのデジタルデンチャーをお渡しします。

  • 精密な入れ歯を作る事とも大変重要ですが、このデジタルデンチャーの強みは、調整して行く中で、口腔機能の回復をリハビリする、言い換えるならば、「リハビリ器具」。

    お渡し後、調整を何度かしていただく事で、より身体になじませていくことができます。

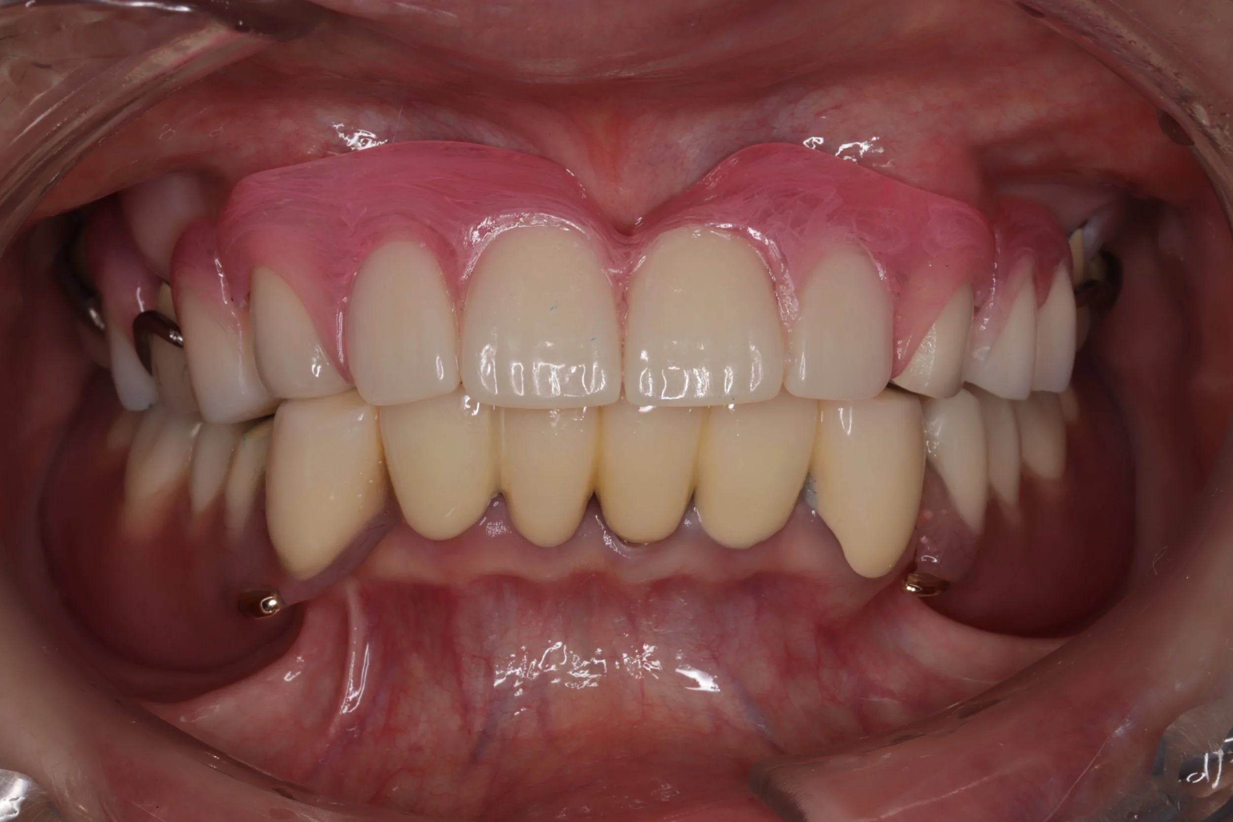
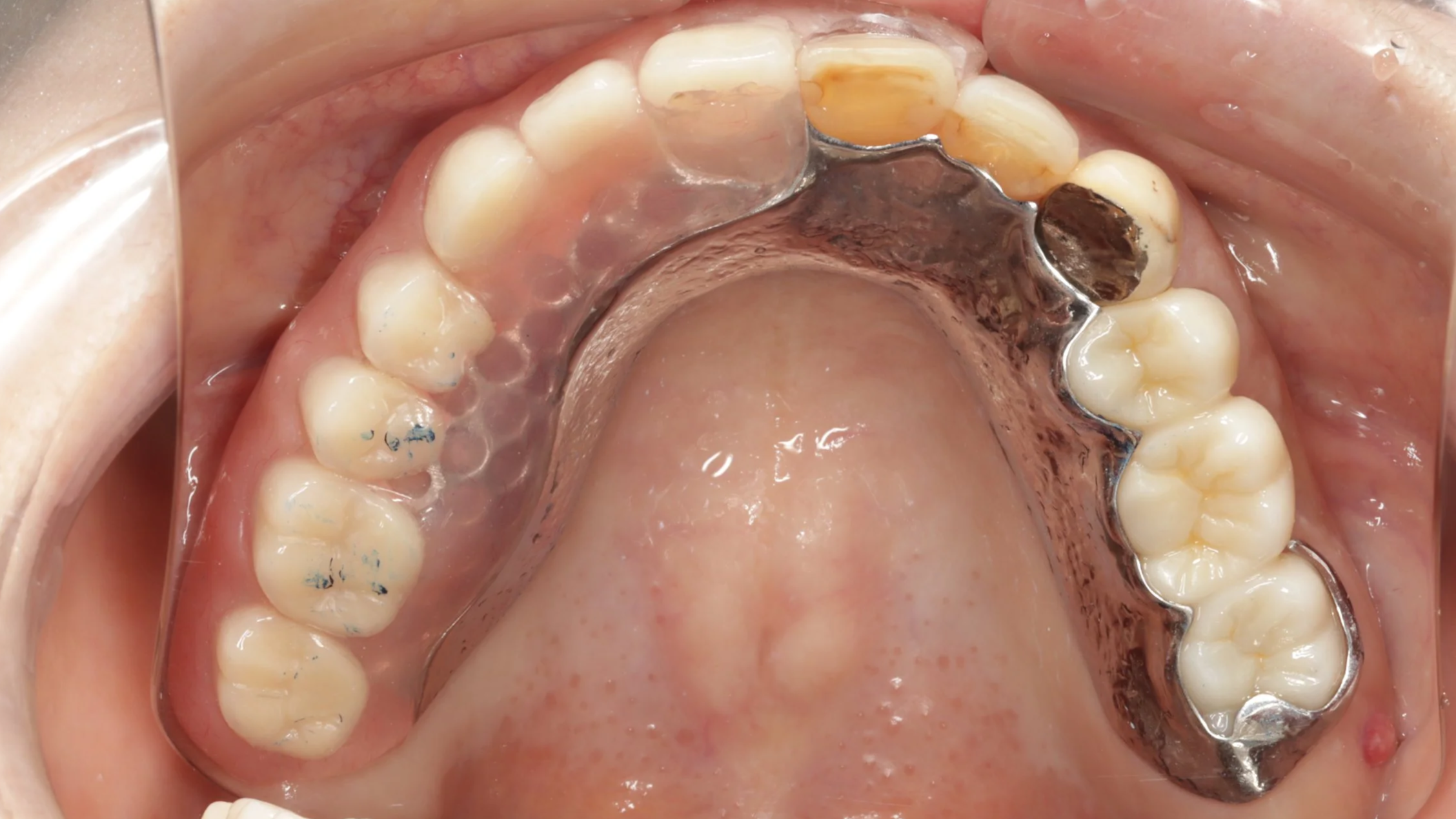
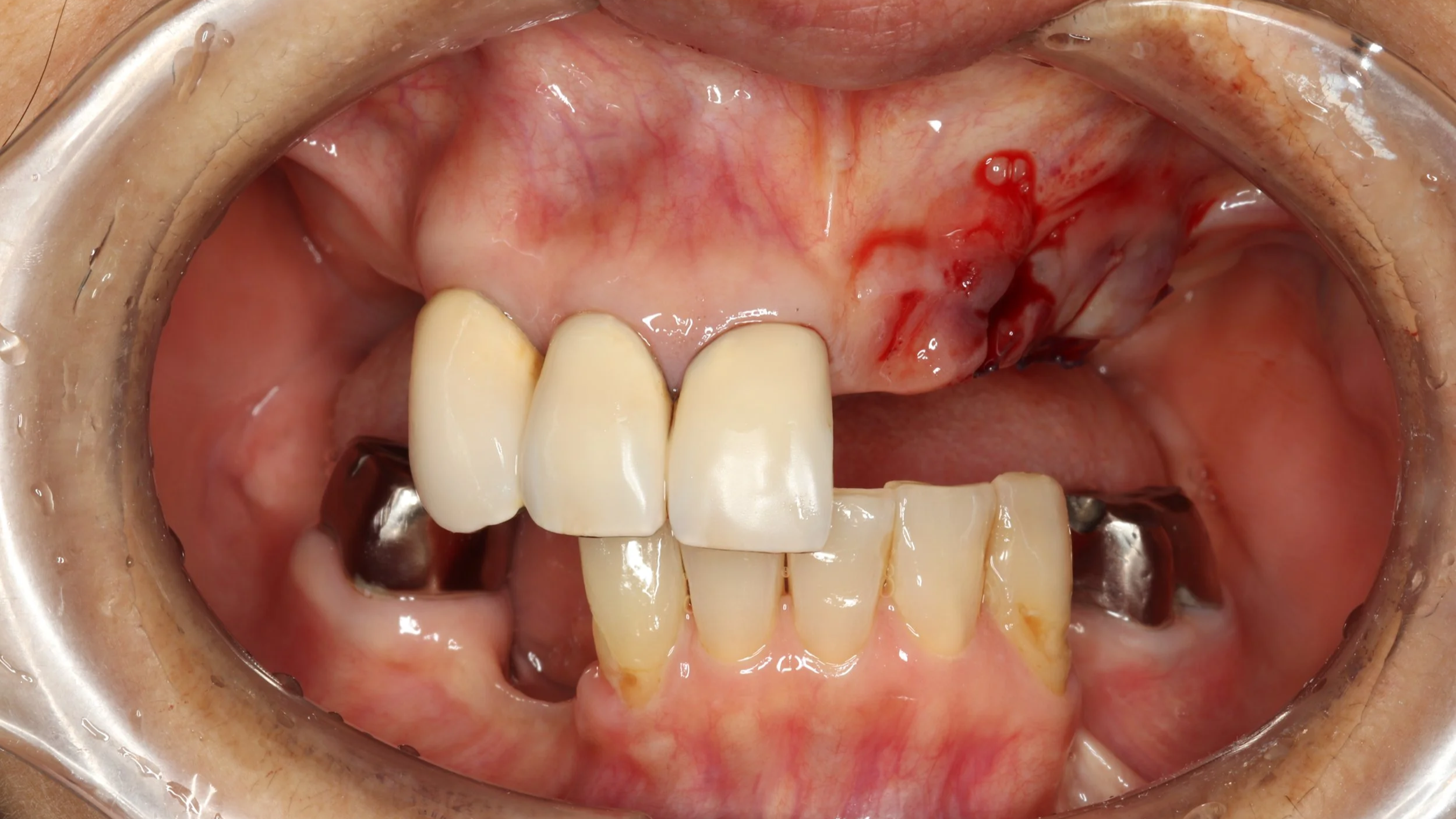
症例1 (上の入れ歯)

初診時

上の前歯の根はすでに割れており抜歯の必要がありました。抜歯了承後、入れ歯のためのデジタルでの型取りを行いました。

2回目

今回はできるだけ薄く作りたいという希望もあったことから、金属床を用い製作、前歯の抜歯とともに同日に新しい入れ歯を装着。

デジタルデンチャー

奥の歯には、金属で入れ歯を止めるバネを製作し、前歯の見える部分には、透明なレジンクラスプを使用しました。

調整

抜いたところの調整などを行う事で、より入れ歯が身体になじんでいきます。途中になっている歯の治療と並行して調整を行います。

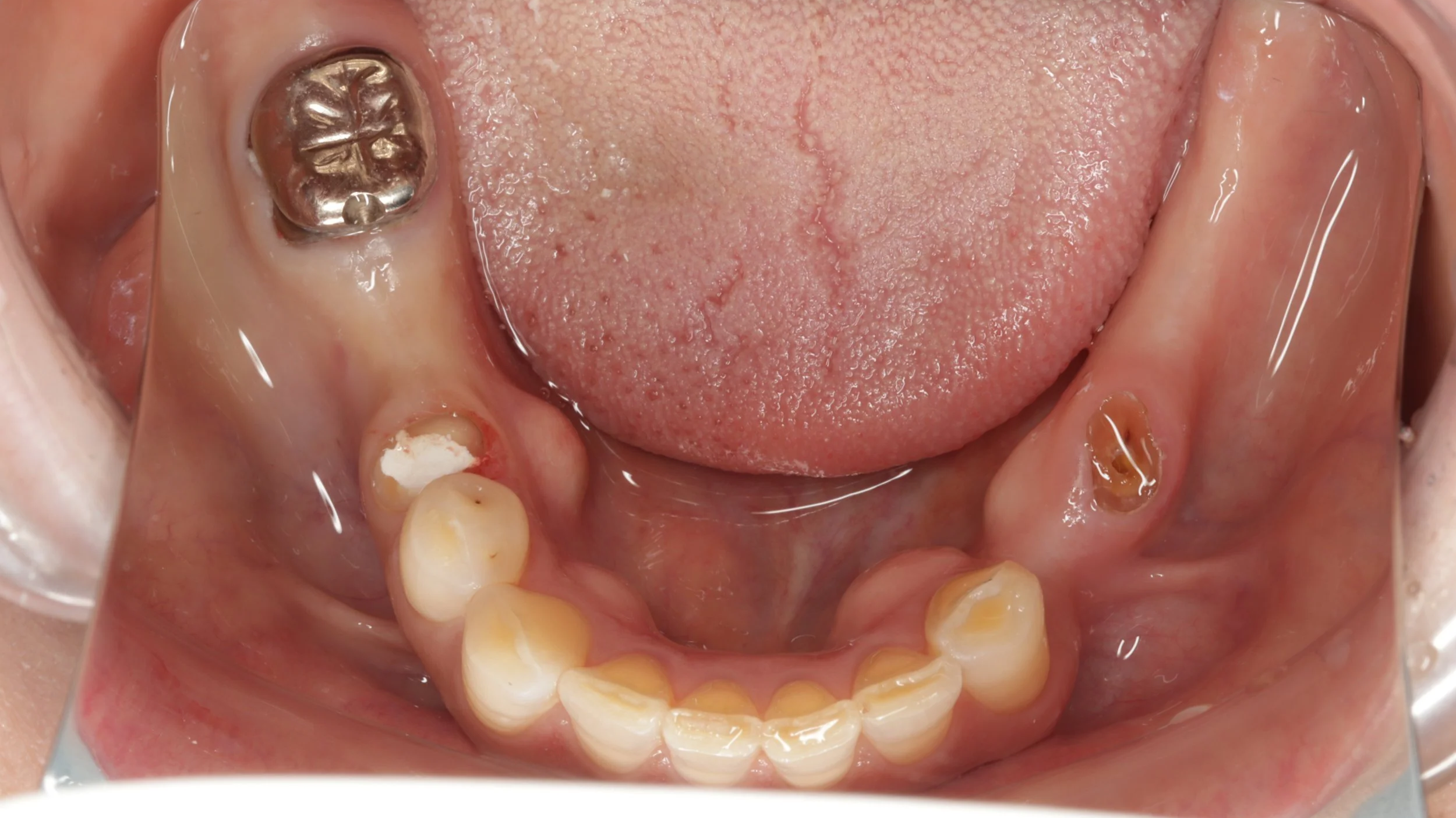
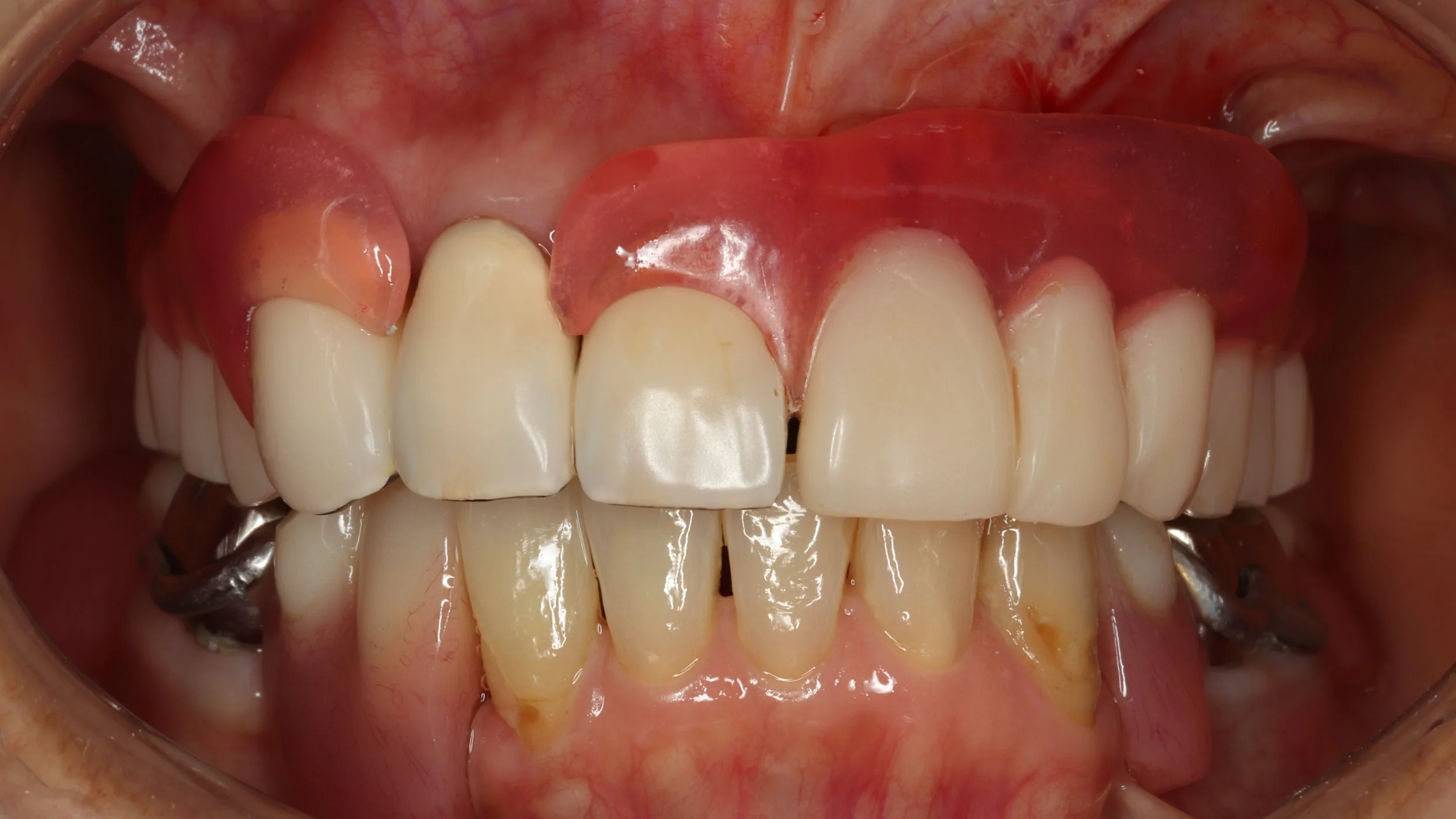
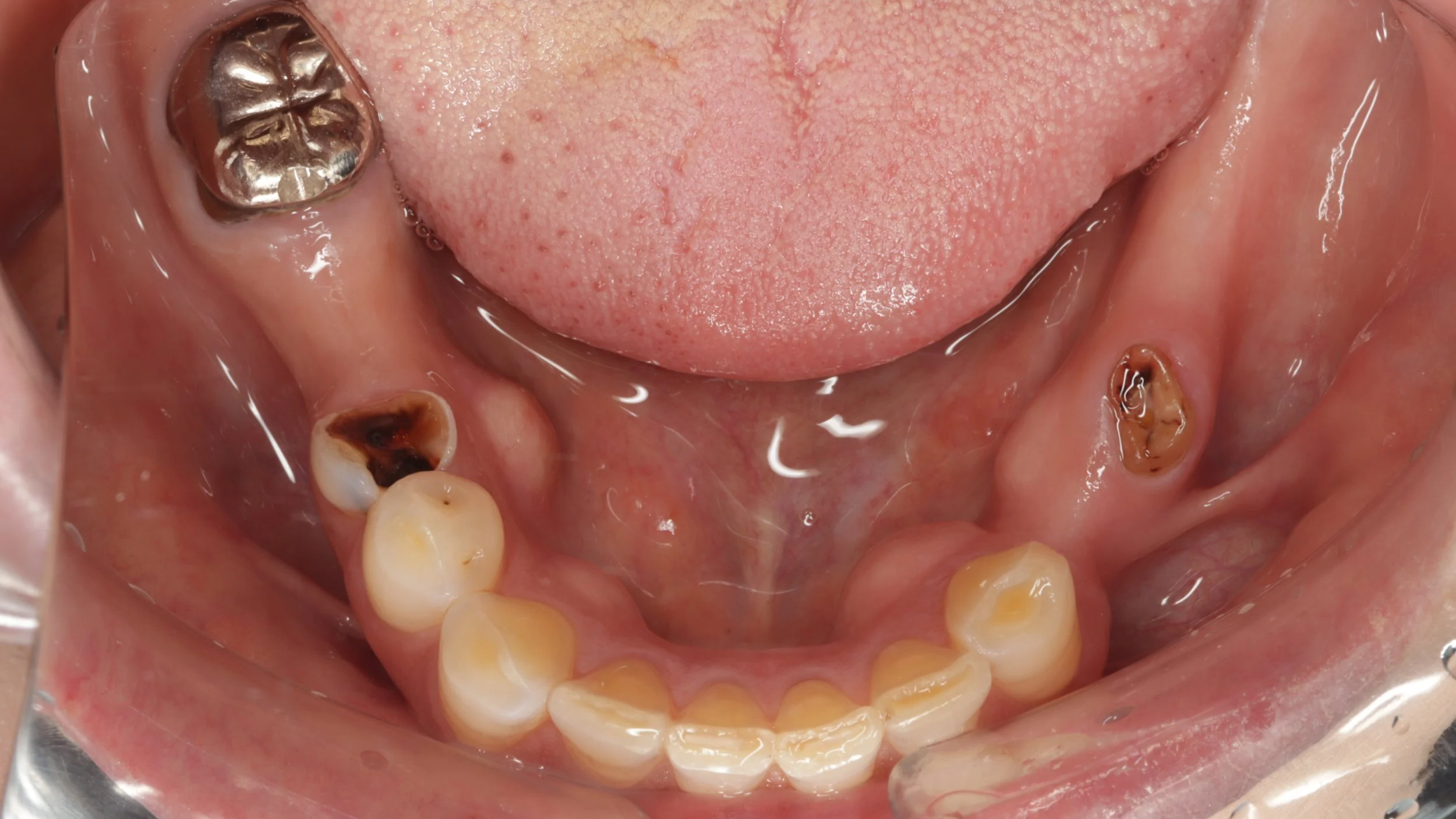
症例2 (下の入れ歯)

初診時

大きなむし歯もある状態でしたがまずは、入れ歯を早期に装着し、入れ歯の調整をしつつ、歯の治療することとしました。

2回目

残せる歯は、しっかり根の治療を開始しつつ、新しい入れ歯を装着。内側を金属で薄く作る事で違和感の軽減を図りました。

デジタルデンチャー

内側を金属で薄く作る事で違和感の軽減を図りました。前歯の見える部分は、透明の素材を使用。口の状態によってピンク色のときもあります。

調整と歯の治療

根の治療を行った後、入れ歯の内面などを調整することで、咬んだときの食べ物の感触などがわかりやすくなります。

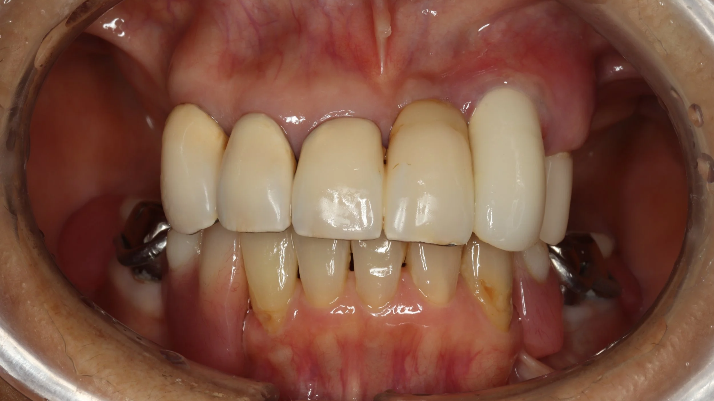
症例3 (上の入れ歯)

1回目

他院で入れ歯を作ったけど あまり使わなかったことで、前歯が折れてグラグラな状態でしたが、デジタルでの型取りにて、製作開始。

2回目

連結されている前歯を切断するとともに、折れた根の抜歯を行い、その後デジタルデンチャーを装着し機能回復を開始しました。

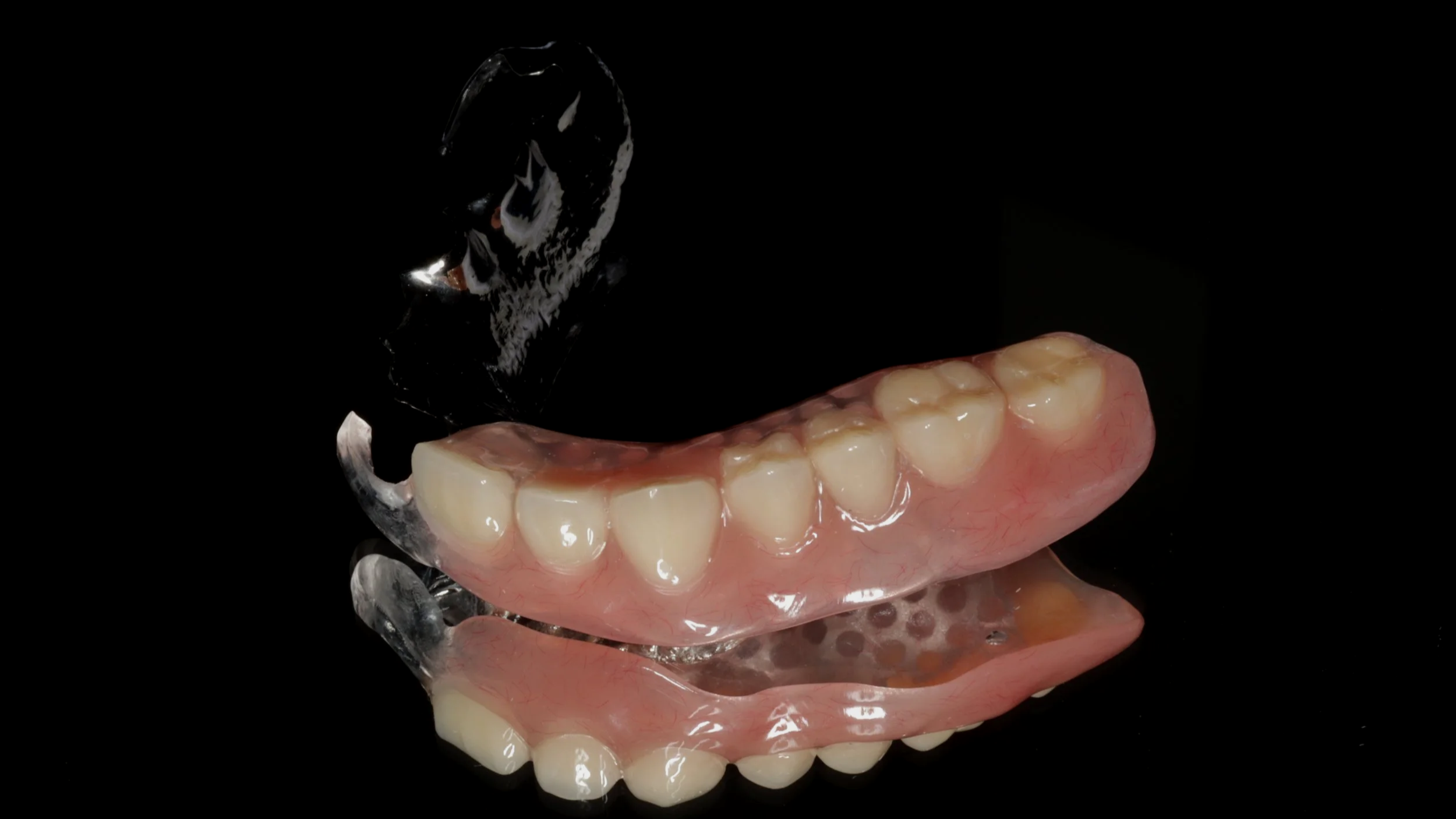
ポリフレックス

デジタルデンチャーの中でも、製作過程の多くをデジタル技術で製作。完全メタルフリーなので金属アレルギーの心配もありません。

創面治癒を待ちつつ

抜いたところが落ち着いた後、金属床によるリハビリにて、しゃべりやすく、違和感の軽減を目指していきます。

乙丸 貴史
補綴歯科専門医

  • 1980年 東京生まれ

  • 2005年 東京医科歯科大学歯学部 卒業

  • 2009年 東京医科歯科大学大学院顎顔面補綴学分野 修了

  • 2012~2020年 東京医科歯科大学歯学部附属病院顎義歯外来 外来医長

  • 2021年 日比谷公園前歯科医院 開院

よくある質問

ここにお悩みが書かれていない場合は、お電話でお伺いいたします。

  • 製作は型取り→完成で、2回です。ただし、抜歯を伴う場合はその後の調整は必要になります。また入れ歯による機能回復の効果を高めるため、調整は必要となりますので、その点はご留意ください。

  • 装着直後、装着して2-3ヶ月、装着して1年、とおおよそ装着後からの経過期間によって、調整することが予想されます。短期は、粘膜の痛みや、しゃべりに草への対応。装着して数ヶ月後は、痛みが出る前の調整。長期的な調整は、かみ合わせの変化による調整、全体的なバランスの調整が必要になります。

  • 保証ですが、このデジタルデンチャーは、早期機能回復のための入れ歯です。より高度な機能回復を求め、従来の製作手順や歯科技工士立ち会いによって、新しい入れ歯を作る場合に、治療費の減額はあります。
    返金については、型取り後すぐに、歯科技工士に製作依頼を行いますので、全額返金はできかねます。

  • 患者さんのもともとのお口の状態によりますが、半年から一年ぐらいで、より精密な入れ歯を作る事で、しゃべりやすくなったり咬みやすくなることが一般的です。作り替えるタイミングは患者さんからの要望となります。

  • 素材の選択でまったく金属を使わずに製作することも可能です。ただ噛む力がつよかったり、かたいものをよく召し上がる方の場合、素材がすり切れてしまい、入れ歯が不安定になることがあります。

  • Collaborative, honest, and straightforward. We're here to guide the process, bring ideas to the table, and keep things moving.